Ishwar Heart Clinic

Essential Heart Health Tips | Dr. Ishwar Zanwar

Heart health is crucial for overall well-being, as the heart plays a vital role in pumping blood and supplying oxygen and nutrients to the body’s...
Essential Heart Health Tips | Dr. Ishwar Zanwar

Angioplasty | Dr. Ishwar Zanwar

Angioplasty is a procedure used to open blocked or narrowed blood vessels, most commonly used to treat narrowed or blocked coronary (heart) arterie...
Angioplasty | Dr. Ishwar Zanwar

Angiography | Dr. Ishwar Zanwar

Angiography Angiography is a medical imaging technique used to visualize blood vessels in the body, particularly in the heart and the brain. It is ...
Angiography | Dr. Ishwar Zanwar

Holter monitoring |Dr. Ishwar Zanwar

Holter monitoring is a type of ambulatory electrocardiogram (ECG) test that records a person's heart activity for a 24-hour period. It is a non-inv...
Holter monitoring |Dr. Ishwar Zanwar

Stress test |Dr. Ishwar Zanwar

A stress test, also known as an exercise stress test or treadmill test, is a diagnostic test used to evaluate how well a person's heart functions d...
Stress test |Dr. Ishwar Zanwar

Ambulatory Blood Pressure Monitoring |Dr. Ishwar Zanwar

ABPM stands for Ambulatory Blood Pressure Monitoring. It is a non-invasive method for measuring a person's blood pressure at regular intervals over...
Ambulatory Blood Pressure Monitoring |Dr. Ishwar Zanwar

Implantable Cardioverter Defibrillator|Dr. Ishwar Zanwar

ICD stands for Implantable Cardioverter Defibrillator. It is a small device that is surgically implanted under the skin of the chest, similar to a ...
Implantable Cardioverter Defibrillator|Dr. Ishwar Zanwar

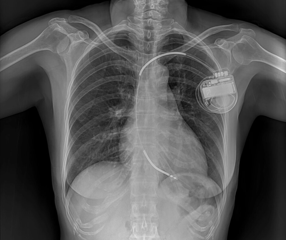
Pacemaker | Dr.Ishwar Zanwar

A pacemaker is a small device that is surgically implanted under the skin of the chest. It's designed to help regulate the heartbeat for people who...
Pacemaker | Dr.Ishwar Zanwar
Healthy hearts

Healthy hearts

A fatty diet can raise your cholesterol, increasing your risk of heart disease and stroke. Get food tips for lowering your cholesterol.
Healthy hearts
Wolff-Parkinson-White syndrome

Wolff-Parkinson-White syndrome

In Wolff-Parkinson-White (WPW) syndrome, the heart beats abnormally fast. The syndrome is congenital (present at birth) and is caused by an extra electrical connection in the heart.
Wolff-Parkinson-White syndrome
Postural tachycardia syndrome (PoTS)

Postural tachycardia syndrome (PoTS)

Postural tachycardia syndrome (PoTS) is an abnormal increase in heart rate after sitting or standing up. It typically causes dizziness, fainting, sweating and other symptoms. There are many possible causes of PoTS, but in many cases the condition is unexplained.
Postural tachycardia syndrome (PoTS)
Pacemaker implantation

Pacemaker implantation

Pacemaker implantation is a surgical procedure where a small electrical device called a pacemaker is implanted in your chest. The pacemaker sends regular electrical pulses that help keep your heart beating regularly.
Pacemaker implantation
?
Ask Question
AboutMyClinic
SmartSite created on AboutMyClinic.com
Site-Help | Disclaimer
Disclaimer: The information provided here should not be used during any medical emergency or for the diagnosis or treatment of any medical condition. The information is provided solely for educational purpose and should not be considered a substitute for medical advice.